夏日炎炎,正是需要防晒的时候。因为使用起来方便又有清凉感,防晒喷雾成了近几年的网红产品。
使用防晒喷雾时误吸
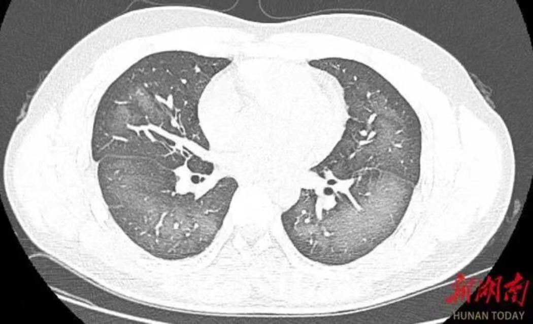
20岁小伙竟查出“白肺”
近日,20岁的长沙小伙李林(化名)在外出前使用了防晒喷雾,在对着面部喷洒时,李林不小心误吸了喷雾,随即出现胸闷、咳嗽的症状。症状一直持续到第二天仍未好转,他急忙来到湖南省长沙市第三医院就诊。
经检查,肺部CT片显示,李林双肺赫然呈现大范围白色样病变,报告提示“白肺”。
“白肺”一般是指重症肺炎在X线或CT检查下的表现,患者肺部呈现一大片的白色状态,往往会出现呼吸困难、呼吸衰竭,严重者还会出现其他脏器功能障碍。
“白肺”常见于高龄(65岁以上)、免疫力低下、有重要器官慢性病史(如心脏病、中风史、慢性肾脏病、慢性阻塞性肺疾病等)、有多种疾病并存(比如既有高血压、糖尿病,又有心脏病、肺病、肾功能不全)等人群。
只是喷个防晒喷雾
肺部为何会受损
长沙市第三医院放射影像科的接诊医师表示,除了感染、弥漫性肺泡出血综合征等“白肺”最常见的病因外,吸入有害物质如粉尘、喷雾等,也可导致肺部出现大范围白色样病变。这名年轻的患者就是因为使用不当,吸入了一部分防晒产品进入肺部,导致“白肺”的发生。
急诊医生给予吸氧、化痰、抗感染等相关治疗后,患者症状得到明显改善。
防晒喷雾如何使用才安全
1.选用温和无刺激、适合自己肤质的产品。如果对酒精不耐受,不要选用含有酒精的防晒喷雾。
2.因个人肤质不同,首次使用前,可以把少量防晒喷雾涂抹在耳后、肘关节内侧等部位进行皮试,保持24~72小时,确定无不适反应以后再进行使用。
3.使用防晒喷雾时主要喷洒在身体部位,使用时与皮肤至少保持15~20厘米的距离。使用于面部和颈部时,请先喷洒在手上,然后用手均匀涂抹。若不慎入眼,要立即用水清洗;如有不适要暂停使用。
4.不要在肌肤伤口、红肿或湿疹等有异常的部位使用防晒喷雾。
5.不要在同一个身体部位近距离(如10厘米内)连续喷射超过3秒,防晒喷雾中的推进剂喷出后会迅速挥发吸热,长时间或者近距离使用可能会冻伤皮肤。
6.不要在卫生间、车内等狭小密闭不通风空间内使用,喷洒时要注意通风,使用时屏住呼吸,勿刻意吸气,避免吸入喷雾。
7.应放在儿童接触不到的地方,儿童应在成人监护下使用防晒喷雾。建议给儿童选择配方温和、标识有儿童化妆品标志“小金盾”的防晒产品。
8.防晒喷雾中通常含有易燃物质,请存放在阴凉干燥通风环境中,避免阳光直晒。使用时应远离火源、热源、静电,不得撞击产品,不得将产品或使用完的空罐刺穿或投入火中。
提醒!在使用防晒产品后,若出现过敏或其他身体不适,应立即停止使用,并及时前往医院就诊!

