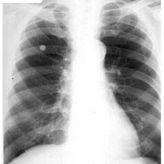
体检做胸部CT或者拍胸片,有时会发现肺部有钙化灶,医生说是以前得过肺结核留下的,这是什么情况?
简单地说,概括为以下几点:
1. 肺结核钙化灶是肺结核愈后的表现,没有传染性,定期复诊胸部摄片检查即可。
2. 肺结核钙化灶若钙化不完全,则可能残留有结核杆菌,有一定复发风险,患者应注意加强营养、规律运动,增强机体抵抗力。
3. 还有其他疾病也会有肺内钙化的表现,需及时就诊发现原发疾病。
为什么肺里有“钙”
肺部在炎症性疾病的持续性刺激下,肺部组织会出现不同程度的损伤,在人体免疫机制以及治疗药物的共同作用下,肺部在康复过程中形成纤维化疤痕组织,这种疤痕在体内经过长时间的演变就形成了钙化。大多为良性结节性钙化,其原理与人体皮肤伤口愈合后的疤痕组织相似。
结核杆菌是能导致肺部炎症的因素之一,痊愈后可能形成钙化灶,一般表明肺结核病灶基本好转、痊愈或不存在活动性结核杆菌,不存在传染性。少部分健康人群因自身免疫力较强,感染结核分枝杆菌后不出现明显症状,免疫应答可直接将细菌消灭,达到自愈而形成钙化点,此钙化灶对机体无任何影响。
增强抵抗力
一起打败残存结核杆菌
结核钙化灶,通常提示钙化病灶中结核杆菌已经被机体免疫机制以及抗结核治疗杀灭。但是,少数患者的结核钙化灶存在不完全钙化的情况,病灶里残留有活动性结核分枝杆菌,当机体免疫力低下的时候,可能会重新活跃而引起复发。为了避免复发,即便疗程结束,患者也要注意加强营养、规律运动,增强机体抵抗力。
有稳定性病灶
还需定期随访
有明确肺结核病史且有规范抗结核治疗史的患者,肺钙化点属于稳定性病灶,是治愈的表现,需定期复诊胸部摄片检查,无需特殊治疗。
如果患者没有明确的肺结核病史以及结核病接触史,也没有其他不适症状,仅由体检发现肺钙化灶,患者可定期随访观察。若钙化灶形态、大小无改变,只需定期复诊检查,无需特殊治疗。
除了肺部慢性炎症,甲状旁腺功能亢进、肺含铁血黄素沉着、肺癌、肺内畸胎瘤、转移性骨肉瘤等也会有肺内钙化的表现,这些情况下,可以结合钙化灶各自具有的特点以及原发疾病的临床表现进行鉴别诊断。
发现肺部钙化灶不必担心,做好鉴别诊断,定期随访观察,让我们一同守护肺部健康!
